Caso clínico interactivo
Caso clínico
Revisión ilustrada con un caso clínico
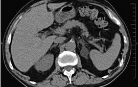
¿Qué patología identifica el signo del arco vascular?
Autoinmunidad y trastornos glandulares múltiples ¿qué podemos prevenir?
Dr. Santiago Bruzone
Osteoporosis - Hiperaldosteronismo primario - Neoplasia endocrina múltiple tipo 1 - Incidentaloma adrenal
Los comentarios estan limitados a profesionales médicos. Para comentar por favor INICIAR SESIÓN
Recuerde ser cordial y respetuoso. Recomendamos no abusar de letras mayúsculas y realizar comentarios claros y cortos.
Todavía no hay comentarios en este artículo. ¡Nos encantaría conocer tu opinión!
Comentarios (-)
Todavía no hay comentarios en este artículo. ¡Nos encantaría conocer tu opinión!